item2
m4 m8
backToCase answers
background

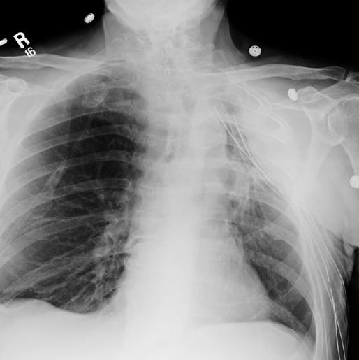
This 52 year old man had recent left thoracic surgery for a Pancoast tumor and had three chest tubes placed in the OR. What kind of radiograph do you think this is and what do you think of the position of the chest tubes?