ChestTubes
m4 m8
backToCase
nextcase
background
labels off

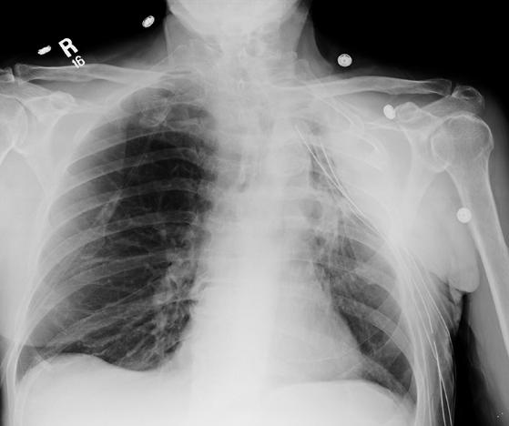
This image is likely a portable radiograph, as the positioning is not good and the patient has so many tubes, it is probably hard to move him. One of the tubes is not in good position, as the side hole is outside the ribs. Check the labels to see where the problem is.

chest tube1
chest tube2
problem
ribs
fluid

The ideal position of the tip of a chest tube depends on what it was placed for--if it is intended to drain air, the tip should be near the lung apex; if it was placed to drain fluid, the tip is usually inferiorly located in the pleural space; if it is intended to drain a specific loculated fluid collection (fluid that is not free flowing but is encapsulated in one part of the pleural space, usually by fibrosis or adhesions), then the tip should be positioned within the fluid collection. In this case, the fluid collection is lateral to all of the tubes, but may eventually be drained as two of them are close in position. The problem tube has its side hole outside the ribcage, and therefore it will not function well and should be repositioned.