pulmonary cardiovasc ENT
overview neuro

Anatomy
TOPICS

endocrine
reproductive
m2 GIimaging renal
case1 case2 case3 item5
T1TIN0012layers
T1OUT0012layers
Labels off
Labels on
item4
item2

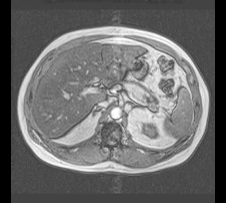
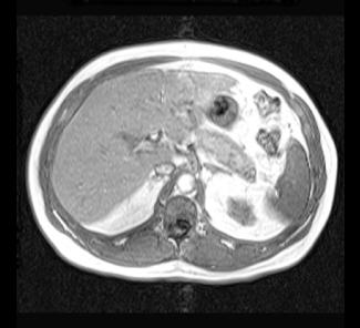
These are both MR images (note the dark appearance of bone and high signal fat). The image on the left is an in-phase image and the image on the right is an out-of-phase image, which causes a number of artifacts (a black outline around many structures, called 'India Ink' appearance) but also causes signal from fat to decrease. The liver is brighter on the in-phase than the out-of-phase image, indicating that it has diffuse fatty infiltration. MR is not used as frequently as CT overall in abdominal imaging, but can solve particular problems, such as detecting small amounts of fat within organs or lesions, which can often help in the differential diagnosis of complex cases.

GIimaging item5