pulmonary cardiovasc ENT
overview neuro

Anatomy
TOPICS

endocrine
reproductive
m2 GIimaging renal
item6 item7 case3 case4
epiglottitislab

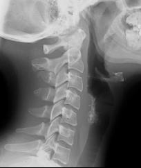
This is a lateral radiograph of the neck, which is sometimes done prior to other more definitive studies to look at the airway.

In Image A from our patient, the hyoid bone is shown in orange, and a very thick and inflamed epiglottis in red. The region of the valleculae is shown in green. This is an emergency, as epiglottitis can lead to complete airway obstruction. Image B is a comparison study to show the normal appearance of the epiglottis.

item4
item2
nmllatneck

A

B

ENT case2 case3 case4