pulmonary cardiovasc ENT
overview neuro

Anatomy
TOPICS

endocrine
reproductive
m2 GIimaging renal
item6 item7 case3 case4
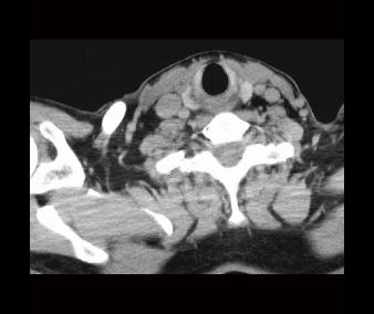
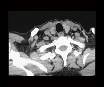
RadLab4CT02 RadLab4CT01
Labels off SCM m
platysma m Labels off
carotid a scalene mm carotid a
strap mm
cricoid cart
SCM m esophagus thyroid gland
strap mm
esophagus
int jugular v vagus n
vertebral a
int jugular v thyroid longus colli
longus colli
scalene mm
vagus n
vertebral a
item2
item4

Normal CT review: Slices 9 & 10

ENT case2 case3