CASE 2

describes features and appropriate terms for masses and nodules on CXR and CT

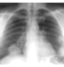
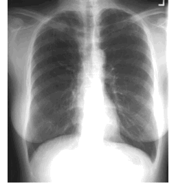
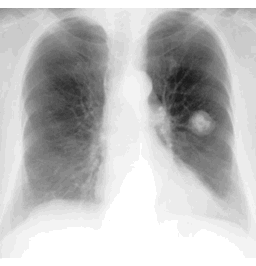
How would you describe the LUNG abnormality in each of these cases?

A

B

C

hint: this one is hard to see...